“People Love Us On Google”
294+ Google reviews
















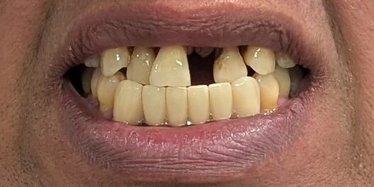
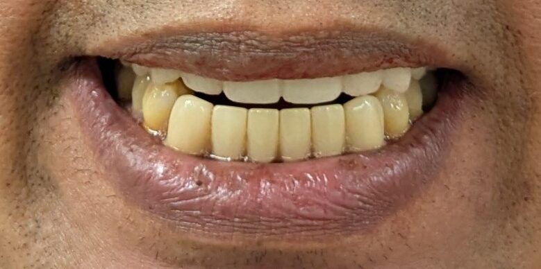
Replace missing teeth with permanent, natural-looking dental implants. Restore your confidence and quality of life.
All Implant Procedures Include A Complimentary Consultation & Digital Radiographs
Single Complete Tooth Implant
CBCT Scan & X-Rays
As Low As $1999
Every Lower Denture Needs This
As Low As $5950
Dental Implants, Abutments, & (Screwed-on) Teeth
All Extractions & Bone Grafting
As Low As $17,950
We Provide
State-of-the-Art Technology
We Offer
Affordable Payment Plans
A Confident, Healthy Smile Starts Here
Are you ready to restore your smile and regain full function with a long-lasting solution? Our All-On-X process is designed to provide a natural-looking, secure, and permanent smile using advanced dental implant technology. Whether you’re struggling with missing or failing teeth, dentures that don’t fit well, or simply want to enhance your quality of life, we’re here to guide you every step of the way.
Schedule Your Free Virtual Consultation Today!
In this complimentary virtual consultation, we’ll:
✔ Review Your Current Smile – Assess your dental situation and discuss your concerns.
✔ Explain the All-On-X Process – Learn about our conservative approach to restoring your smile with minimal discomfort and maximum long-term benefits.
✔ Discuss Cost & Payment Plans – Get a personalized estimate and explore flexible financing options.
Why Choose Us?
✔ Expert-Led Care – Our experienced team specializes in full-arch restorations using cutting-edge techniques.
✔ State-of-the-Art Technology – We utilize the latest advancements for precision, durability, and comfort.
✔ A Natural, Long-Lasting Smile – Our All-On-X solution is customized to fit your unique facial structure for a seamless, confident smile.
Don’t Wait – Limited Spots Available!
Take the first step toward a new, fully restored smile today. Book your free virtual consultation now and get all the information you need to make the best decision for your oral health and confidence.
If your tooth is fixable, and strong enough to save, I’m the guy. I will fix and protect your natural teeth so they can SUPPORT any denture, implant or bridge you may have or need!”
Single implants will fill the gap of one missing tooth. If you are missing multiple teeth or in need of extractions, we have full-mouth solutions that will give you a beautiful and durable smile!
American Dental Association - ADA MouthHealthy - Implants Patient Guide
Asociación Dental Americana - ADA MouthHealthy - Guía para pacientes que desean implantes
Your insurance can help you with some of the costs, depending on the extensiveness of the treatment. Your financial questions will all be answered on your first visit.
No worries! We offer discounts and payment plans that help make treatment more affordable!
During your first assessment, we'll do a full evaluation and discuss all pricing options to help you decide what will best fit your needs.
Absolutely! We have monthly payment plan options for all budgets.
Almost all of our patients use Proceed finance for their implants.
This depends on your unique situation. On average, our patients attend 1-3 visits for their procedures.
Yes, in many cases you can. Our All-on-X technique places implants at strategic angles to maximize the bone you already have, which often eliminates the need for bone grafting entirely. For patients with significant bone loss, we may use longer implants or angled placement to anchor into denser areas of the jaw. During your free consultation, Dr. Zinabadi will take a scan to evaluate your bone density and determine the best approach. Many patients who were told "no" elsewhere are still candidates in our office.
All-on-4 uses four implants per arch to support a full set of permanent teeth, while All-on-6 uses six implants for additional support. The right choice depends on your bone density and bite forces. All-on-4 is often sufficient for most patients and costs less because fewer implants are placed. All-on-6 may be recommended for the upper jaw where bone tends to be softer, or for patients who grind their teeth. We use the term "All-on-X" because Dr. Zinabadi customizes the number of implants to your specific anatomy rather than forcing a one-size-fits-all approach.
There is no upper age limit for dental implants. We have successfully placed implants in patients in their 70s and 80s. What matters is your overall health and bone quality, not your age. As long as you are healthy enough for a routine tooth extraction, you are likely a candidate for implants. In fact, implants can significantly improve quality of life for older adults by restoring the ability to eat nutritious foods, speak clearly, and smile with confidence. Your free consultation includes a full health evaluation to make sure implants are safe for you.
Dental implants last significantly longer. Traditional dentures typically need to be replaced or relined every 5-7 years because the jawbone slowly shrinks without tooth roots to stimulate it. This means dentures become loose and uncomfortable over time. Dental implants, by contrast, fuse with your jawbone and actually prevent bone loss. The implant itself can last a lifetime with proper care. The crown or prosthetic teeth attached to implants may need replacement after 15-20 years, but the foundation stays permanent. Over a 20-year period, implants are often more cost-effective than repeatedly replacing dentures.
The titanium implant post that is placed in your jawbone is designed to last a lifetime. Titanium is biocompatible, meaning your bone grows around it and holds it permanently in place through a process called <a href="https://pmc.ncbi.nlm.nih.gov/articles/PMC3602536/" target="_blank" rel="noopener noreferrer">osseointegration</a>. The crown or prosthetic teeth attached to the implant typically last 15-20 years before they may need replacement due to normal wear. With good oral hygiene — brushing, flossing, and regular dental checkups — your implants can serve you for decades. Studies show dental implants have a success rate above 95% even after 20 years.
Yes, patients with controlled diabetes can successfully receive dental implants. The key word is "controlled." If your blood sugar levels are well-managed (typically an HbA1c below 8%), your healing ability is similar to non-diabetic patients, and implant success rates are comparable. Uncontrolled diabetes can slow healing and increase infection risk, so we may recommend working with your physician to optimize your levels before surgery. During your free consultation, we will review your medical history and coordinate with your doctor if needed to ensure a safe and successful outcome.
Most patients return to normal daily activities within 2-3 days after the procedure. You will leave our office the same day with a full set of temporary teeth, so you are never without a smile. Mild swelling and discomfort are normal for the first few days and can be managed with over-the-counter pain medication. We recommend soft foods for the first 6-8 weeks while your implants integrate with the jawbone. After 3-6 months of healing, you will return for your final permanent prosthetic teeth. Many of our patients tell us the recovery was much easier than they expected.
The procedure itself is painless because we use local anesthesia to completely numb the area. Most patients say the experience is more comfortable than a tooth extraction. After the anesthesia wears off, you can expect some mild soreness and swelling for 2-5 days, similar to what you would feel after having a tooth pulled. Over-the-counter pain relievers like ibuprofen are usually sufficient. We also offer sedation options for patients who experience dental anxiety. The vast majority of our patients are surprised by how little discomfort they feel and wish they had not waited so long.
Yes — that is one of the biggest advantages over dentures. Once your permanent teeth are placed and fully healed (typically 3-6 months after surgery), you can eat virtually anything: steak, corn on the cob, apples, nuts, and all the foods you may have been avoiding. During the initial healing period with temporary teeth, we recommend softer foods to protect the implants while they integrate. All-on-X implants restore approximately 90% of your natural biting force, compared to only 20-25% with traditional dentures. Our patients consistently tell us that being able to eat their favorite foods again is life-changing.
Many PPO dental insurance plans cover a portion of dental implant treatment, typically ranging from $1,000 to $3,000 toward the total cost. Coverage varies by plan and may apply to the extraction, the implant post, or the crown. Our team will verify your insurance benefits before treatment and help you maximize your coverage. For the portion not covered by insurance, we offer flexible monthly payment plans through Cherry Financing and Proceed Finance with terms up to 60 months. Applying does not affect your credit score. We believe cost should never prevent you from getting the care you need, and we will work with you to find a solution that fits your budget.
© 2026 Zinabadi DDS Inc | All Rights Reserved.
Serving Fullerton, Brea, Anaheim, Norwalk, Downey, Whittier, Lake Forest, Mission Viejo, Laguna Hills & All of Orange County