“People Love Us On Google”
251+ Google reviews














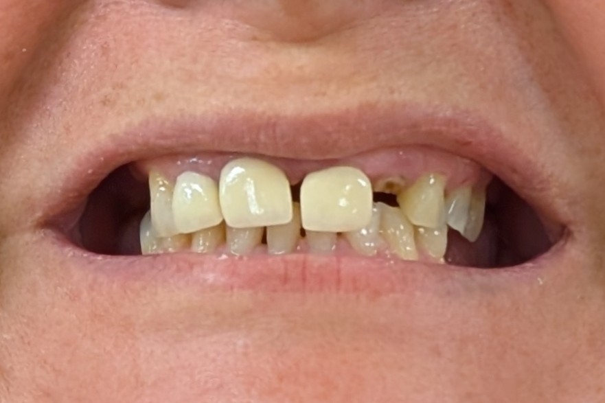
Replace missing teeth with permanent, natural-looking dental implants. Restore your confidence and quality of life.
All Implant Procedures Include A Complimentary Consultation & Digital Radiographs
Single Complete Tooth Implant
CBCT Scan & X-Rays
As Low As $1999
Every Lower Denture Needs This
Dental Implants, Abutments, & (Screwed-on) Teeth
We Provide
State-of-the-Art Technology
We Offer
Affordable Payment Plans
A Confident, Healthy Smile Starts Here
Are you ready to restore your smile and regain full function with a long-lasting solution? Our All-On-X process is designed to provide a natural-looking, secure, and permanent smile using advanced dental implant technology. Whether you’re struggling with missing or failing teeth, dentures that don’t fit well, or simply want to enhance your quality of life, we’re here to guide you every step of the way.
Schedule Your Free Virtual Consultation Today!
In this complimentary virtual consultation, we’ll:
✔ Review Your Current Smile – Assess your dental situation and discuss your concerns.
✔ Explain the All-On-X Process – Learn about our conservative approach to restoring your smile with minimal discomfort and maximum long-term benefits.
✔ Discuss Cost & Payment Plans – Get a personalized estimate and explore flexible financing options.
Why Choose Us?
✔ Expert-Led Care – Our experienced team specializes in full-arch restorations using cutting-edge techniques.
✔ State-of-the-Art Technology – We utilize the latest advancements for precision, durability, and comfort.
✔ A Natural, Long-Lasting Smile – Our All-On-X solution is customized to fit your unique facial structure for a seamless, confident smile.
Don’t Wait – Limited Spots Available!
Take the first step toward a new, fully restored smile today. Book your free virtual consultation now and get all the information you need to make the best decision for your oral health and confidence.
If your tooth is fixable, and strong enough to save, I’m the guy. I will fix and protect your natural teeth so they can SUPPORT any denture, implant or bridge you may have or need!”
© 2024 Zinabadi DDS Inc | All Rights Reserved.
Serving Fullerton, Brea, Anaheim, Norwalk, Downey, Whittier, Lake Forest, Mission Viejo, Laguna Hills & All of Orange County